LA FÉRULA DE DESCARGA

SEDCYDO • Imagen y texto

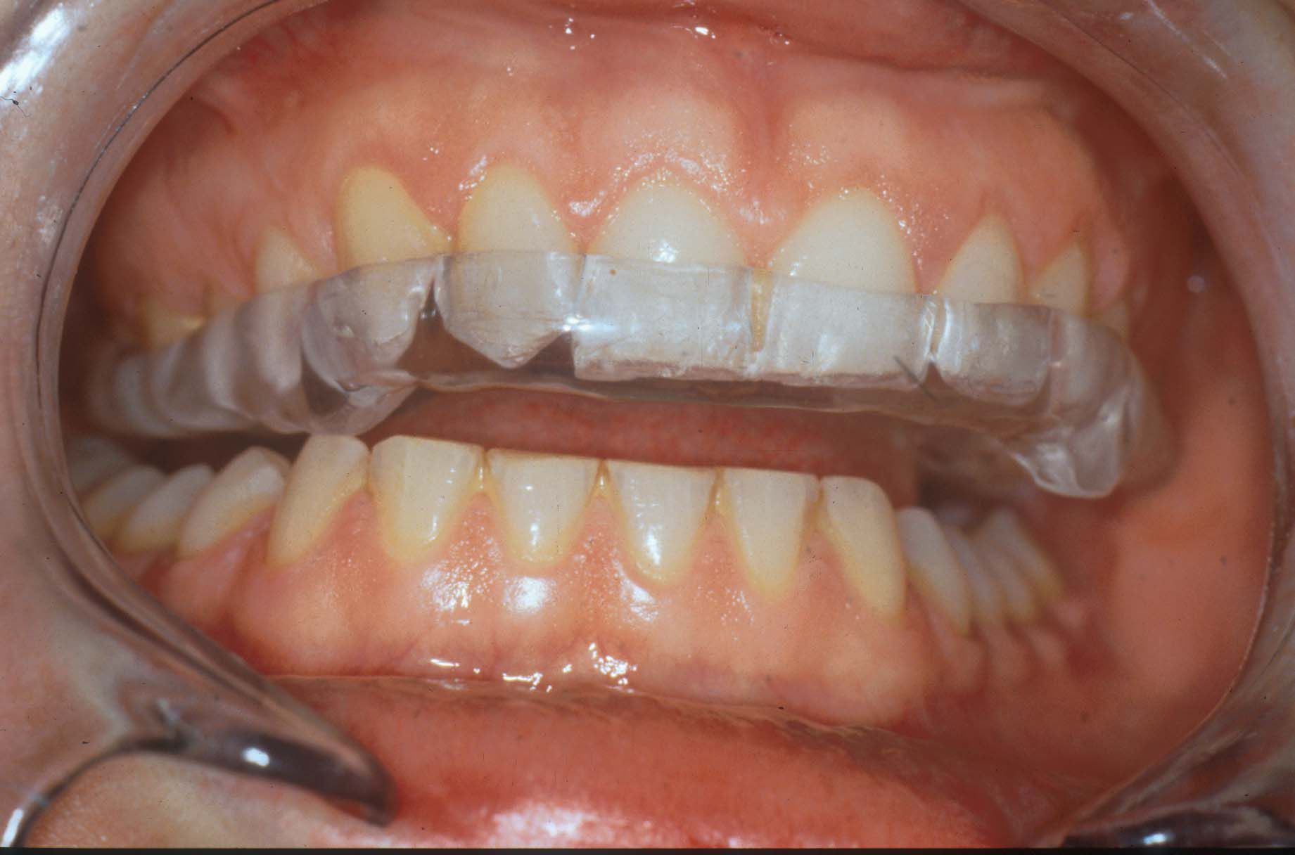
La Férula Oclusal

Las férulas u ortosis oclusales son uno de los recursos más comunes y efectivos para el tratamiento de los trastornos temporomandibulares y del bruxismo, pero siempre requieren un diseño adecuado y personalizado bajo la supervisión de un dentista, así como ser sometidas a revisiones y ajustes periódicos para su correcto funcionamiento.